前歯 外向き
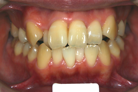
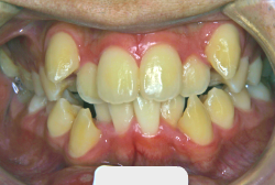
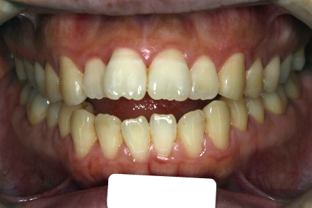
8歳7ヶ月 男児 高崎の矯正歯科スマイルデザイン
部分矯正 山口県 山陽小野田市の公園通り歯科 予防歯科 矯正治療
セラミック矯正が適した代表的なケース 装置を着けない歯並び治療 白い歯専門のホワイトホワイト東京 恵比寿 新宿 有楽町
前歯 外向き のギャラリー
症例解説
Q Tbn And9gcsoyzr Q 6yzhe1zyw4z5cv0opo4d8imxjmkwdydvcr Tteefie Usqp Cau
すきっ歯の症例
前歯中央の永久歯が半分くらい生えてきているのですが 斜め外向きになっているのでこのままだと歯の間が三角の隙間になっていきそうです 矯正は必要ですか 矯正治療のスーパーカウンセラー 歯並びtv
症例紹介 矯正歯科 大阪 ほてい矯正歯科
前歯中央の永久歯が半分くらい生えてきているのですが 斜め外向きになっているのでこのままだと歯の間が三角の隙間になっていきそうです 矯正は必要ですか 矯正治療のスーパーカウンセラー 歯並びtv
開咬 前歯が噛み合わない の原因や矯正治療の費用や期間について解説 新川崎おおき矯正歯科
小学校2年生 8才 になる娘の前歯の永久歯が 歯と歯の間にすき間があり ハの字にはえてしまっていて 外向きにはえているのです 6年では遅くなり治療も遅れるのでしょうか 矯正治療のスーパーカウンセラー 歯並びtv
部分矯正 山口県 山陽小野田市の公園通り歯科 予防歯科 矯正治療
Q Tbn And9gcspky99pma5u Im Zyiritpsg2rer01lt4hrtxeech5eveovro Usqp Cau
写真ありこの一本だけ引っ込んでいる前歯を部分矯正したら今より見た目は良くな Yahoo 知恵袋
Q Tbn And9gcsdgd5x1qdr5rrglacejcx 3idfxllwim31qdt2rlmjooyzfvqb Usqp Cau
Blog 桶川の歯医者 アズ歯科 桶川医院 家族で通える優しい歯医者
セラミック矯正が適した代表的なケース 装置を着けない歯並び治療 白い歯専門のホワイトホワイト東京 恵比寿 新宿 有楽町
今からでも遅くない 大人になってから始める歯列矯正の種類と費用 川崎市のフォレスタ武蔵小杉矯正歯科
部分矯正 プチ矯正 前歯矯正 Mtm について 大阪市の歯医者 はしもと歯科クリニック 新大阪 東三国 東淀川駅すぐ
開咬 症状と治療 スマイルガイド 矯正歯科の正しい選択を応援するサイト
上下顎前突 症状と治療 スマイルガイド 矯正歯科の正しい選択を応援するサイト
8歳7ヶ月 男児 高崎の矯正歯科スマイルデザイン
大人の歯列矯正 アラサーの大事な4年を捧げた歯並び改善 全部見せます Baila おしゃれ感度の高い30代に向けてファッション ビューティ ライフスタイル 結婚 恋愛等のリアルを届けるサイト
片方の歯出てくるのが遅い 周智郡森町 仲町歯科医院
前歯が大きいのが悩み セラミッククラウンで改善
八重歯 叢生 そうせい 乱杭歯 症例写真 大阪の審美歯科 インプラント ウメダデンタルクリニック
坪山矯正歯科医院 治療例 坪山矯正歯科医院 東武宇都宮駅徒歩5分
症例紹介 矯正歯科 大阪 ほてい矯正歯科
歯周病治療 鎌ヶ谷 歯科 オリオン歯科医院 イオン鎌ヶ谷 歯医者
年 2月 抜歯の必要性
前歯中央の永久歯が半分くらい生えてきているのですが 斜め外向きになっているのでこのままだと歯の間が三角の隙間になっていきそうです 矯正は必要ですか 矯正治療のスーパーカウンセラー 歯並びtv
8歳7ヶ月 男児 高崎の矯正歯科スマイルデザイン
部分矯正 山口県 山陽小野田市の公園通り歯科 予防歯科 矯正治療
前歯の治療 よくある前歯の悩み 14症例で解説 エド日本橋歯科
叢生 そうせい 歯が凸凹 所沢市小手指 関歯科 矯正歯科医院
ワイヤーを一日外しただけで 今からでも歯列矯正 楽天ブログ
八重歯はチャームポイント 矯正歯科医が教える八重歯の全て 知りたいことはココにある 歯の知りたい
症例紹介 矯正歯科 大阪 ほてい矯正歯科
歯並びが急に変わる 悪くなる原因と対処法 加齢による変化も 歯 口の病気 All About
めるチー 歯科矯正日記
出っ歯のお悩み相談から埋伏歯が判明 大垣市のよろず矯正歯科
Misato S Feeldays 歯科矯正4
小学校2年生 8才 になる娘の前歯の永久歯が 歯と歯の間にすき間があり ハの字にはえてしまっていて 外向きにはえているのです 6年では遅くなり治療も遅れるのでしょうか 矯正治療のスーパーカウンセラー 歯並びtv
部分矯正 山口県 山陽小野田市の公園通り歯科 予防歯科 矯正治療
前歯の治療 よくある前歯の悩み 14症例で解説 エド日本橋歯科
100万円の治療費がパァに 歯科矯正の失敗はなぜ起こるのか ニュース3面鏡 ダイヤモンド オンライン
岡本玲さんの前歯や歯並びを批評 歯列矯正中 僕の審美歯科ガイド 前歯の差し歯治療で後悔しないための情報源
矯正症例の紹介です えごし歯科医院 鹿島市の歯医者
開咬 症状と治療 スマイルガイド 矯正歯科の正しい選択を応援するサイト
年 2月 抜歯の必要性
上の前歯の片方が前に出ていて もう片方が奥側に生えていて イー とした時に下の歯が奥側の前歯の前にきます 無料メール相談 西田矯正歯科
前歯が内向きは良いこと 石原さとみさんは内向き
前歯中央の永久歯が半分くらい生えてきているのですが 斜め外向きになっているのでこのままだと歯の間が三角の隙間になっていきそうです 矯正は必要ですか 矯正治療のスーパーカウンセラー 歯並びtv
深田恭子さんの前歯や歯並び批評 僕の審美歯科ガイド 前歯の差し歯治療で後悔しないための情報源
乳歯について疑問があるあなた 徹底解説します 418プロジェクト 虫歯ゼロ活動
8歳7ヶ月 男児 高崎の矯正歯科スマイルデザイン
前歯が噛み合わない不正咬合とは 大分県の矯正歯科 相談室
8歳7ヶ月 男児 高崎の矯正歯科スマイルデザイン
症例紹介 矯正歯科 大阪 ほてい矯正歯科
インプラント症例14 若くして 重度歯周病で歯が激しく動揺した患者さま
26歳からの歯科矯正 リテーナー生活
症例紹介 矯正歯科 大阪 ほてい矯正歯科
前歯中央の永久歯が半分くらい生えてきているのですが 斜め外向きになっているのでこのままだと歯の間が三角の隙間になっていきそうです 矯正は必要ですか 矯正治療のスーパーカウンセラー 歯並びtv
矯正後 装置を外したら歯が内向きに この歯の角度は治せない 顎が出てるように見えて コラム 専門家プロファイル
前歯中央の永久歯が半分くらい生えてきているのですが 斜め外向きになっているのでこのままだと歯の間が三角の隙間になっていきそうです 矯正は必要ですか 矯正治療のスーパーカウンセラー 歯並びtv
部分矯正 山口県 山陽小野田市の公園通り歯科 予防歯科 矯正治療
部分矯正 山口県 山陽小野田市の公園通り歯科 予防歯科 矯正治療
矯正症例の紹介です えごし歯科医院 鹿島市の歯医者
症例解説
矯正は必要 歯並び かみ合わせ 歯に関する相談 Ask Dentist
こんなお悩みありませんか 小児矯正 小牧市 岩倉市 江南市 矯正専門医 こまき矯正歯科
大人の歯列矯正 アラサーの大事な4年を捧げた歯並び改善 全部見せます Baila おしゃれ感度の高い30代に向けてファッション ビューティ ライフスタイル 結婚 恋愛等のリアルを届けるサイト
前歯が1本引っ込んでいる治療 お客様からよく頂く 歯の矯正 のお悩み事例
乳歯の生えかわり のしくみと年齢別 点検 のポイント Lidea リディア By Lion
Perfume のっちさん コンプレックス奮闘記
Q Tbn And9gcsoyzr Q 6yzhe1zyw4z5cv0opo4d8imxjmkwdydvcr Tteefie Usqp Cau
子供の歯の事で相談です 今永久歯に生え代わり中の前歯なのですが 向 歯の病気 教えて Goo
八重歯 叢生 そうせい 乱杭歯 症例写真 大阪の審美歯科 インプラント ウメダデンタルクリニック
前歯が噛み合わない 開咬 大宮の矯正歯科ファミリア歯科矯正 医院ブログ
歯列矯正 部分矯正 マウスピース矯正 や審美歯科 ホワイトニング 診療一覧 Page 3 Chan Rssing Com
広瀬矯正歯科
小学校2年生 8才 になる娘の前歯の永久歯が 歯と歯の間にすき間があり ハの字にはえてしまっていて 外向きにはえているのです 6年では遅くなり治療も遅れるのでしょうか 矯正治療のスーパーカウンセラー 歯並びtv
清村矯正歯科
前歯矯正は保険が効く
上の前歯2本が奥歯に押されるようにして だんだん前に出てきています 西田矯正歯科 滋賀 大津 京都
前歯中央の永久歯が半分くらい生えてきているのですが 斜め外向きになっているのでこのままだと歯の間が三角の隙間になっていきそうです 矯正は必要ですか 矯正治療のスーパーカウンセラー 歯並びtv
症例紹介 矯正歯科 大阪 ほてい矯正歯科
矯正歯科 新 掲示板
症例解説
前歯中央の永久歯が半分くらい生えてきているのですが 斜め外向きになっているのでこのままだと歯の間が三角の隙間になっていきそうです 矯正は必要ですか 矯正治療のスーパーカウンセラー 歯並びtv
八重歯 叢生 そうせい 乱杭歯 症例写真 大阪の審美歯科 インプラント ウメダデンタルクリニック
小学校2年生 8才 になる娘の前歯の永久歯が 歯と歯の間にすき間があり ハの字にはえてしまっていて 外向きにはえているのです 6年では遅くなり治療も遅れるのでしょうか 矯正治療のスーパーカウンセラー 歯並びtv
歯並び予防 5 25 6 11 三姉妹 ダーの小さな出来事 たいちゃまんライフ ー
矯正歯科 堺 なかもず駅前の歯医者 ますだ歯科
前歯中央の永久歯が半分くらい生えてきているのですが 斜め外向きになっているのでこのままだと歯の間が三角の隙間になっていきそうです 矯正は必要ですか 矯正治療のスーパーカウンセラー 歯並びtv
連結ゴム Instagram Posts Gramho Com
非抜歯矯正について 画像付 歯の写真 閲覧注意 現在 非 Yahoo 知恵袋
歯周病治療 鎌ヶ谷 歯科 オリオン歯科医院 イオン鎌ヶ谷 歯医者
スーパーエナメルの症例 大西歯科モノレールビルクリニック
差し歯の寿命と交換時期は 長持ちするためにするべき3つの方法
片方の歯出てくるのが遅い 周智郡森町 仲町歯科医院
歯が曲がって生えてきた 気が付いたら早めにご相談を 調布市の歯科 歯医者ならあきら歯科 柴崎駅改札正面
八重歯 叢生 そうせい 乱杭歯 症例写真 大阪の審美歯科 インプラント ウメダデンタルクリニック
出っ歯 上顎前突 歯ぐき 症例写真 大阪の審美歯科 インプラント ウメダデンタルクリニック


